牛皮癣的危害有哪些?如今有关皮肤病的出现,对我们来说已经是相当平常了,由于牛皮癣疾病的侵入,易导致人们的身体肌肤在逐渐的受到破坏,人们的肌肤美观也会因为牛皮癣疾病的存在,受到牛皮癣疾病的影响。那么,牛皮癣的危害有哪些?下面看看郑州牛皮癣医院专家的介绍:

1、导致关节损害:牛皮癣的发病可累积于人体的各个部位,其具体症状不仅表现在皮肤上外,还会出现关节肿大疼痛、活动受限、晨僵、有积液或变形等类风湿关节炎的症状。对此类患者进行X线检查,可发现其关节呈类风湿关节炎样改变。
2、引起营养不良:得了牛皮癣的患者会出现皮肤大量脱屑的现象,这给患者尤其是女性朋友带来一定的危害。这些皮屑的主要成分为蛋白质、维生素和叶酸等。若牛皮癣迁延多年不愈或大面积扩散,患者就会出现营养不良,并可伴有乏力、倦怠、面色苍白等症状,甚至可出现低蛋白血症或营养不良性贫血。
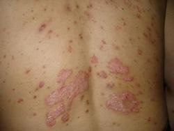
3、引起继发性感染和心力衰竭:牛皮癣的症状大多表现在皮肤表层,当患者可出现头痛、发热、畏寒、浅表淋巴结肿大等症状。其周身的皮肤可表现为弥漫性的潮红或暗红色,同时伴有肿胀或有渗出液,上面可覆盖大量的麸皮样鳞屑。这些都是红皮病型牛皮癣的表现,虽然比较少见,但却非常严重。因此一定要做好日常的护理工作,防止各种危害的出现。
牛皮癣的危害有哪些?牛皮癣皮肤病的危害不单单是其他皮肤病的危害那样损害肌肤,对牛皮癣疾病长期的不进行治疗,易导致患者的身体内部受到牛皮癣疾病的牵连,逐渐的伤及到患者的各个器官。牛皮癣疾病还易导致患者的身体出现各种异常的现象,活动受到限制、全身出现不适、乏力、大面积的感染牛皮癣疾病等等危害。